Big Black Friday Sale 65% Discount Offer - Ends in 0d 00h 00m 00s - Coupon code: exams65

ExamsBrite Dumps

Sonography Principles and Instrumentation Question and Answers

Sonography Principles and Instrumentation

Last Update Nov 30, 2025
Total Questions : 187

We are offering FREE SPI ARDMS exam questions. All you do is to just go and sign up. Give your details, prepare SPI free exam questions and then go for complete pool of Sonography Principles and Instrumentation test questions that will help you more.

SPI pdf

SPI PDF

$36.75  $104.99
SPI Engine

SPI Testing Engine

$43.75  $124.99
SPI PDF + Engine

SPI PDF + Testing Engine

$57.75  $164.99
Questions 1

Which adjustment resulted in the change from image A to image B?

Options:

A.  

Increased transmit frequency

B.  

Increased scale

C.  

Decreased color gain

D.  

Decreased acoustic power

Discussion 0
Questions 2

What relates bandwidth to operating frequency?

Options:

A.  

Autocorrelation

B.  

Nyquist limit

C.  

Focal zone

D.  

Quality factor

Discussion 0
Questions 3

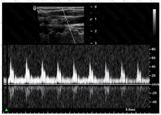
How can the spectral Doppler mirroring seen in this image be eliminated?

Options:

A.  

Decrease wall filter.

B.  

Decrease Doppler gain.

C.  

Increase dynamic range.

D.  

Increase pulse repetition frequency (PRF).

Discussion 0
Questions 4

Which setting improves temporal resolution?

Options:

A.  

Wide sector size

B.  

Increased depth

C.  

Multiple focal zones

D.  

Low line density

Discussion 0
Questions 5

What is effected by increasing the color scale?

Options:

A.  

The Nyquist limit is increased

B.  

More colors are displayed

C.  

The color box width decreases

D.  

The color priority decreases

Discussion 0
Questions 6

In this image, which artifact is demonstrated?

Options:

A.  

Mirroring

B.  

Aliasing

C.  

Range ambiguity

D.  

Spectral broadening

Discussion 0
Questions 7

Which parameter is directly proportional to the Doppler shift frequency?

Options:

A.  

Propagation speed

B.  

Size of moving reflector

C.  

Ultrasound beam intensity

D.  

Velocity of the moving reflector

Discussion 0
Questions 8

Which describes the reflected frequency when a reflector is moving toward the sound source?

Options:

A.  

Increased

B.  

Decreased

C.  

Unchanged

D.  

Attenuated

Discussion 0
Questions 9

What is the result of an increase in spatial pulse length?

Options:

A.  

Improved axial resolution

B.  

Degraded axial resolution

C.  

Improved lateral resolution

D.  

Degraded lateral resolution

Discussion 0
Questions 10

Which color Doppler control allows for reassignment of red and blue to represent flow direction?

Options:

A.  

Color priority

B.  

Color gain

C.  

Color threshold

D.  

Color invert

Discussion 0
Questions 11

What results from increasing the packet length when using color Doppler imaging?

Options:

A.  

Decreased penetration

B.  

Increased aliasing

C.  

Increased color noise

D.  

Decreased frame rate

Discussion 0
Questions 12

Which settings would produce the best temporal resolution?

Options:

A.  

More focal zones and shallower depth

B.  

More focal zones and deeper depth

C.  

Fewer focal zones and shallower depth

D.  

Fewer focal zones and deeper depth

Discussion 0
Questions 13

Which adjustment will reduce the appearance of posterior shadowing artifact?

Options:

A.  

Increasing spatial compounding

B.  

Decreasing dynamic range

C.  

Decreasing the number of focal zones

D.  

Increasing persistence

Discussion 0
Questions 14

Which machine setting could cause aliasing to occur?

Options:

A.  

Doppler scale too high

B.  

Doppler scale too low

C.  

Doppler gain too high

D.  

Doppler gain too low

Discussion 0
Questions 15

Which adjustment is needed to optimize the waveform below?

Options:

A.  

Lower baseline

B.  

Decrease gain

C.  

Increase wall filter

D.  

Increase pulse repetition frequency

Discussion 0
Questions 16

What device is used to determine axial resolution?

Options:

A.  

Tissue-mimicking phantom

B.  

Hydrophone

C.  

Beam profiler

D.  

Doppler phantom

Discussion 0
Questions 17

What is an advantage of pulsed-wave Doppler over continuous-wave Doppler?

Options:

A.  

Increased sensitivity to slow flow

B.  

Unlimited maximum detectable velocity

C.  

Range resolution

D.  

High signal-to-noise ratio

Discussion 0
Questions 18

Which target group is used to evaluate transverse distance measurement accuracy in this tissue-mimicking phantom image?

Options:

A.  

Option A

B.  

Option B

C.  

Option C

D.  

Option D

Discussion 0
Questions 19

Which will affect the gray-scale of a 2-D image?

Options:

A.  

Doppler gain

B.  

Depth of field

C.  

Pulse repetition frequency (PRF)

D.  

Dynamic range

Discussion 0
Questions 20

Which outcome is an advantage of more pulses in an ensemble length?

Options:

A.  

Reduced ghosting artifact

B.  

Increased accuracy of velocity measurement

C.  

Improved temporal resolution

D.  

Increased line density

Discussion 0
Questions 21

How can spectral Doppler cross talk be reduced?

Options:

A.  

By decreasing the Doppler gain

B.  

By increasing the Doppler pulse repetition frequency (PRF)

C.  

By adjusting the Doppler baseline

D.  

By decreasing the Doppler wall filter

Discussion 0
Questions 22

What is the effect on the Doppler spectral waveform when sampling a vessel at a greater depth?

Options:

A.  

Increased aliasing

B.  

Higher Doppler shifts

C.  

Higher velocity measurements

D.  

Increased signal strength

Discussion 0
Questions 23

Which artifact occurs when there is increased amplification of reflectors distal to a low-attenuating structure?

Options:

A.  

Mirror image

B.  

Enhancement

C.  

Reverberation

D.  

Refraction

Discussion 0
Questions 24

Which color control was adjusted in color bar A to produce color bar B?

Options:

A.  

Baseline

B.  

Scale

C.  

Map

D.  

Invert

Discussion 0
Questions 25

What happens to the Doppler shift when the angle is changed from 30 to 60 degrees?

Options:

A.  

No significant change

B.  

Loss of Doppler signal

C.  

Increases

D.  

Decreases

Discussion 0
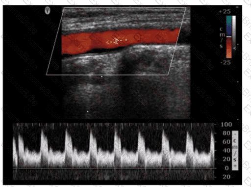
Questions 26

Which pulsed-wave Doppler adjustment would be appropriate to correct the aliasing seen in this image?

Options:

A.  

Increase the spectral Doppler gain.

B.  

Decrease the spectral Doppler gain.

C.  

Increase the Doppler pulse repetition frequency.

D.  

Decrease the Doppler pulse repetition frequency.

Discussion 0
Questions 27

What determines the resonant frequency of a pulsed wave transducer?

Options:

A.  

Element thickness and pulse repetition frequency

B.  

Element diameter and speed of sound in element

C.  

Element diameter and element thickness

D.  

Element thickness and speed of sound in element

Discussion 0
Questions 28

What is the primary reason lateral resolution varies at different depths?

Options:

A.  

Beam width

B.  

Pulse length

C.  

Tissue texture

D.  

Acoustic impedance

Discussion 0
Questions 29

The ability to resolve two separate reflectors perpendicular to the path of the beam describes which type of resolution?

Options:

A.  

Axial

B.  

Contrast

C.  

Lateral

D.  

Temporal

Discussion 0
Questions 30

Which technique averages image frames over time to reduce noise?

Options:

A.  

Demodulation

B.  

Persistence

C.  

Compression

D.  

Time gain compensation

Discussion 0
Questions 31

Which target group in this image of a tissue-mimicking phantom is used to evaluate axial resolution?

Options:

A.  

Option A

B.  

Option B

C.  

Option C

D.  

Option D

Discussion 0
Questions 32

In this image, which characteristics of flow are represented by the upper right side of a variance mode color map?

Options:

A.  

Higher velocity, laminar with a positive Doppler shift

B.  

Higher velocity, laminar with a negative Doppler shift

C.  

Higher velocity, turbulent with a positive Doppler shift

D.  

Higher velocity, turbulent with a negative Doppler shift

Discussion 0
Questions 33

What is required when interrogating higher blood velocities at angles closer to zero degrees?

Options:

A.  

Increased Doppler wall filter settings

B.  

Decreased Doppler wall filter settings

C.  

Increased Doppler scale settings

D.  

Decreased Doppler scale settings

Discussion 0
Questions 34

Which spectral Doppler finding can occur when using a low pulse repetition frequency setting?

Options:

A.  

Spectral broadening

B.  

Range ambiguity

C.  

Aliasing

D.  

Dropout

Discussion 0
Questions 35

What does changing the displayed depth control directly affect?

Options:

A.  

Pulse repetition frequency

B.  

Transducer transmit frequency

C.  

Pulse duration

D.  

Spatial pulse length

Discussion 0
Questions 36

Which of these modes has the highest duty factor?

Options:

A.  

Continuous wave Doppler

B.  

Pulsed wave Doppler

C.  

Color flow Doppler

D.  

Gray-scale

Discussion 0
Questions 37

Which function should be decreased in order to minimize potential bioeffects?

Options:

A.  

Dynamic Range

B.  

Output power

C.  

Depth

D.  

Frequency

Discussion 0
Questions 38

How is an ultrasound image affected if several adjacent crystals of a linear array transducer are damaged?

Options:

A.  

Vertical dark zone directly below the damaged elements

B.  

Erratic beam steering and focusing

C.  

Horizontal zone of dropout

D.  

Loss of entire image

Discussion 0
Questions 39

During 3-D volume acquisition, the quality of the images is most dependent upon which factor?

Options:

A.  

Number of slices acquired

B.  

Power output

C.  

Rendering method utilized

D.  

Speed of post-processing image compression

Discussion 0
Questions 40

Which resolution is improved by focusing?

Options:

A.  

Lateral

B.  

Axial

C.  

Temporal

D.  

Contrast

Discussion 0
Questions 41

What is the function of M-mode?

Options:

A.  

Create 3D images

B.  

Visualize internal organs

C.  

Monitor blood flow

D.  

Measure movement

Discussion 0
Questions 42

What improves the temporal resolution of color flow imaging?

Options:

A.  

Decreasing pulse repetition frequency

B.  

Increasing ensemble length (packet size)

C.  

Decreasing width of the color field of view

D.  

Increasing number of color lines per frame

Discussion 0
Questions 43

What is the primary interaction that occurs when sound waves encounter a smooth, flat surface?

Options:

A.  

Attenuation

B.  

Reflection

C.  

Diffraction

D.  

Interference

Discussion 0
Questions 44

At which angle to blood flow would the maximum Doppler shift occur?

Options:

A.  

90 degrees

B.  

60 degrees

C.  

30 degrees

D.  

0 degrees

Discussion 0
Questions 45

Which adjustment would reduce the noise in the Doppler waveform in this image?

Options:

A.  

Decreasing Doppler gain

B.  

Decreasing velocity scale

C.  

Increasing the gate size

D.  

Increasing sweep speed

Discussion 0
Questions 46

Increasing which setting could enhance the visibility of acoustic shadowing posterior to a calcified object?

Options:

A.  

Gain

B.  

Output power

C.  

Dynamic range

D.  

Frequency

Discussion 0
Questions 47

A Doppler shift is 10,000 Hz at an angle of flow of 60 degrees. What is the Doppler shift at 0 degrees?

Options:

A.  

20,000 Hz

B.  

10,000 Hz

C.  

5,000 Hz

D.  

2,500 Hz

Discussion 0
Questions 48

How is the wavelength affected when switching from a 10 MHz transducer to a 5 MHz transducer?

Options:

A.  

Halves

B.  

Quarters

C.  

Quadruples

D.  

Doubles

Discussion 0
Questions 49

Which system control adjusts amplification of signals as a function of depth?

Options:

A.  

Output power

B.  

Time gain compensation

C.  

Transmit focus

D.  

Reject

Discussion 0
Questions 50

Why is a higher frequency transducer a better choice for imaging superficial structures?

Options:

A.  

Decreased attenuation

B.  

Increased pulse repetition period

C.  

Longer spatial pulse length

D.  

Improved axial resolution

Discussion 0
Questions 51

If the pulse repetition frequency is 3 kHz, what is the maximum Doppler shift that can be detected without aliasing?

Options:

A.  

1.5 kHz

B.  

3.0 kHz

C.  

6.0 kHz

D.  

9.0 kHz

Discussion 0
Questions 52

The calipers in this image measure which performance characteristic of a system?

Options:

A.  

Depth measurement accuracy

B.  

Dynamic range

C.  

Axial resolution

D.  

Lateral resolution

Discussion 0
Questions 53

What parameter change reduces spectral Doppler aliasing?

Options:

A.  

Increase Doppler angle

B.  

Change color scale

C.  

Decrease pulse repetition frequency

D.  

Utilize m-mode

Discussion 0
Questions 54

What sonographic artifact can result in a reflector that appears shallower than its true location?

Options:

A.  

Reverberation

B.  

Acoustic speed error

C.  

Refraction

D.  

Grating lobe

Discussion 0
Questions 55

What does damping in a pulsed-wave transducer affect?

Options:

A.  

Pulse duration

B.  

Pulse repetition frequency

C.  

Beam focus

D.  

Beam penetration

Discussion 0
Questions 56

Which index is related to the likelihood of cavitation?

Options:

A.  

Thermal

B.  

Temporal

C.  

Mechanical

D.  

Acoustical output

Discussion 0