AE Adult Echocardiography Examination
Last Update Nov 30, 2025
Total Questions : 137
We are offering FREE AE-Adult-Echocardiography ARDMS exam questions. All you do is to just go and sign up. Give your details, prepare AE-Adult-Echocardiography free exam questions and then go for complete pool of AE Adult Echocardiography Examination test questions that will help you more.
Which of the following conditions will increase in seventy with Valsalva maneuver?
Which method is useful for obtaining a good quality pulmonary vein spectral Doppler waveform for evaluation of diastolic function?
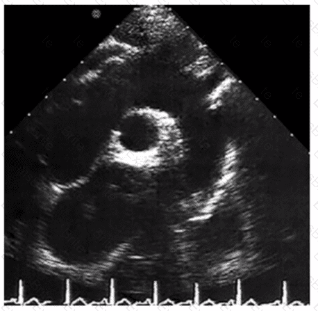
Identify the right pulmonary artery.
Using your mouse, place the cursor on the appropriate region of the image and then left click the mouse button to indicate your selection.

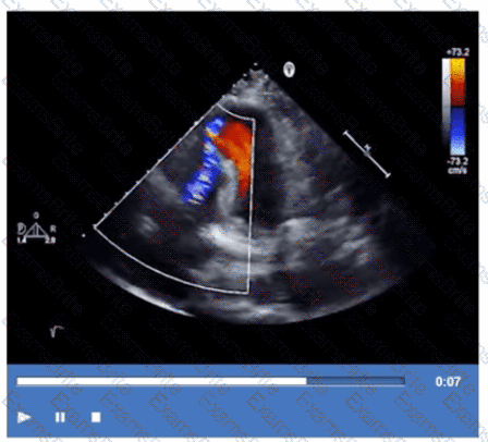
Which mitral regurgitation jet direction is most consistent with hypertrophic obstructive cardiomyopathy?
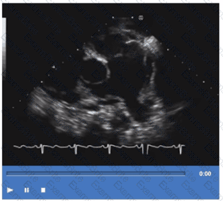
Which is the most likely abnormality represented in these images from a 48-year-old man with shortness of breath?


Which valvular pathology is illustrated in this left heart pressure tracing?

Which method of measuring left atrial size is most recommended and most accurate?
Which unit of measurement is used to quantify tricuspid annular plane systolic excursion?
Which type of mass is typically attached to the fossa ovalis of the left atrium?
Which parameter is expected to increase in the presence of cardiac tamponade?
Which color Doppler adjustment would optimize visualization of flow across the interatrial septum?
Which of the following does the pulmonary capillary wedge pressure estimate?
Sinus of Valsalva aneurysms most commonly rupture into which structure(s)?
Which finding occurs initially as the seventy of aortic stenosis progresses?
The respirometer should be turned on when assessing which possible disease process(es)?
Which type of valvular lesion most commonly requires further evaluation with a non-imaging transducer?
Which sonographic views allow visualization of a patent ductus arteriosus (PDA)?
Which statement is considered true regarding tricuspid annular plane systolic excursion (TAPSE)?
The variables necessary to calculate mitral regurgitant (MR) effective orifice area by the proximal isovelocity surface area (PISA) equation include MR aliasing hemispheric radius, the aliasing velocity, and which other parameter?
Which condition is most likely suggested by an apically sparing "cherry on top" left ventricular strain pattern?
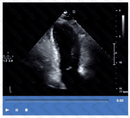
Which coronary artery territory is associated with the wall motion abnormality demonstrated in this video?
